Some dental journeys are more complex than others and that’s perfectly okay. At MC Dental, we understand that life, health, and sometimes a bit of dental fear can all get in the way of regular care. The good news? It’s never too late to start.
Many patients come to us with multiple dental concerns that require a stepped approach to treatment. A single patient’s journey may involve a combination of fillings, root canal therapy, periodontal (gum) treatment, veneers, crowns or bridges, and sometimes even implants. Every case is different, and that’s why our team takes the time to plan each stage carefully, working with you to prioritise comfort, function, and results.
The most important step is starting the conversation. Your dental health can improve at any stage, and our dentists are here to help, not judge. Some of the most rewarding moments for our team come from helping patients rebuild both dental function and confidence in their smile.
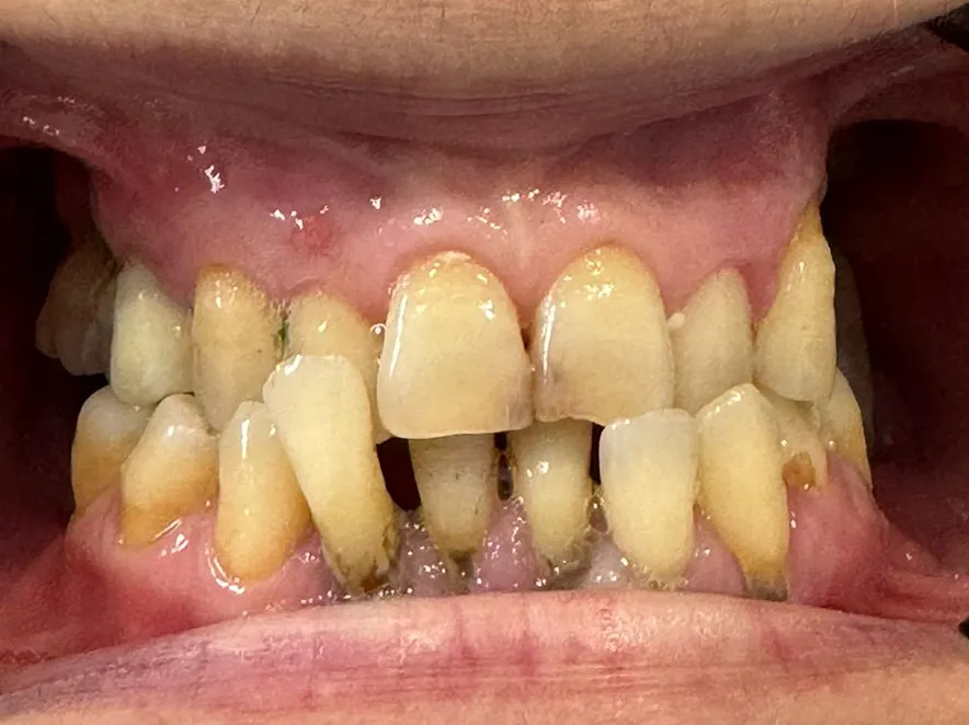
At MC Dental Glen Waverley, Dr Joe recently completed a patient’s smile transformation. He carefully worked through a tailored treatment plan that restored health, improved function, and gave the patient back their smile, plus their confidence! (Photos shown below)
If you’ve been putting off dental care because it all feels too hard, know that support is here when you’re ready.
The information provided on this website is for general informational purposes only. It’s not intended as professional medical advice and should not be treated as a substitute for consultations with qualified dental or healthcare providers. Any surgical or invasive procedure carries risks. Always seek the advice of your dentist or other qualified professionals with any questions regarding your individual dental health or specific medical conditions.
Every smile is unique
No two smiles are the same, and neither are treatment options. The best choice depends on your oral health, aesthetic goals, lifestyle, and budget.
At MC Dental, we offer a free 15-minute implant consultation where you can chat one-on-one with a dentist. We’ll talk through your options, as well as the costs involved.
There’s no pressure, just friendly, professional advice to help you make an informed choice.
Book online and select “free implant consultation” from the appointment reason options, or call (03) 8608 8968 to reserve your complimentary 15 minute implant consultation.
If you need a Chinese speaking dentist in Melbourne, book Dr Joe Zhao. Dr Joe can speak fluent English and Mandarin.
